Αποτελεί την τεχνική αποκατάστασης κρανιακών ελλειμάτων συνήθως μετά κρανιοεγκεφαλικές κακώσεις, συνήθως λόγω καταγμάτων, με αποτέλεσμα την ρινόρροια δηλαδή την εκροή...
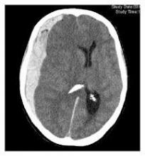
Είναι συλλογή υγρού στον υποσκληρίδιο χώρο συνήθως μετετραυματικά ή μετεγχειρητικά μετά από επεμβάσεις για υποσκληρίδια αιματώματα.
Σε περίπτωση ειδικής κλινικής...
Είναι η διάταση του κοιλιακού συστήματος του εγκεφάλου, λόγω διαταραχών στην κυκλοφορία του εγκεφαλονωτιαίου υγρού του εγκεφάλου. Στους ενήλικες συνήθως...
Οι όγκοι εγκεφάλου είναι καλοήθεις ή κακοήθεις. Οι συχνότεροι κακοήθεις όγκοι στους ενήλικες είναι οι μεταστάσεις από κακοήθεις όγκους άλλων...
Οι όγκοι της σπονδυλικής στήλης είναι συνηθέστερα όγκοι σπονδυλικών σωμάτων που αφορούν μεταστάσεις από κακοήθειες άλλων οργάνων. Επίσης δεύτεροι συχνότεροι...
Οι κακώσεις σπονδυλικής στήλης αφορούν όλες τις μοίρες της σπονδυλικής στήλης, συνήθως μετά από πτώση ή τροχαίο ατύχημα, ενώ είναι...
Αστάθεια της σπονδυλικής στήλης είναι η διαταραχή της σχέσης των ανατομικών δομών της σπονδυλικής στήλης κατά τις κινήσεις (δηλαδή των μεσοσπονδύλιων...
Η σπονδυλική στένωση είναι η στένωση του χώρου του σπονδυλικού σωλήνα, με αποτέλεσμα να συμπιέζονται ο μηνιγγικός σάκος και τα...
Η αυχενική δισκοκήλη είναι η προβολή του μεσοσπονδυλίου δίσκου στον νωτιαίο σωλήνα, λόγω φθοράς του ινώδους δακτυλίου που τον περιβάλλει...
Οσφυϊκή δισκοπάθεια είναι η εκφύλιση του μεσοσπονδυλίου δίσκου μεταξύ των σπονδυλικών σωμάτων στην οσφυϊκή μοίρα. Στις ήπιες μορφές ασκείται πίεση...
