Αποτελεί την τεχνική αποκατάστασης κρανιακών ελλειμάτων συνήθως μετά κρανιοεγκεφαλικές κακώσεις, συνήθως λόγω καταγμάτων, με αποτέλεσμα την ρινόρροια δηλαδή την εκροή εγκεφαλονωτιαίου υγρού από την μύτη, δημιουργώντας κεφαλαλγία στον ασθενή αλλά...
06 / 12 / 2020
Είναι συλλογή υγρού στον υποσκληρίδιο χώρο συνήθως μετετραυματικά ή μετεγχειρητικά μετά από επεμβάσεις για υποσκληρίδια αιματώματα.
Σε περίπτωση ειδικής κλινικής εικόνας λόγω πίεσης του εγκεφαλικού παρεγχύματος αποφασίζεται η χειρουργική αντιμετώπιση...
06 / 12 / 2020
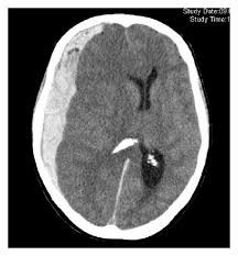
Ο όρος υποσκληρίδιο αιμάτωμα αναφέρεται στο αιμάτωμα που δημιουργείται στον υποσκληρίδιο χώρο του εγκεφάλου δηλαδή μεταξύ της σκληράς και της αραχνοειδούς μηνίγκας του εγκεφάλου. Το αιμάτωμα προέρχεται από τον τραυματισμό...
06 / 12 / 2020
Είναι η διάταση του κοιλιακού συστήματος του εγκεφάλου, λόγω διαταραχών στην κυκλοφορία του εγκεφαλονωτιαίου υγρού του εγκεφάλου. Στους ενήλικες συνήθως υπάρχει κάποιο αποφρακτικό αίτιο ή διαταραχή στην απορρόφησή του ΕΝΥ...
06 / 12 / 2020
Οι όγκοι εγκεφάλου είναι καλοήθεις ή κακοήθεις. Οι συχνότεροι κακοήθεις όγκοι στους ενήλικες είναι οι μεταστάσεις από κακοήθεις όγκους άλλων οργάνων. Οι συχνότεροι πρωτοπαθείς κακοήθεις όγκοι είναι τα γλοιώματα και...
06 / 12 / 2020
Copyright © 2022, Απόστολος Σαμέλης